
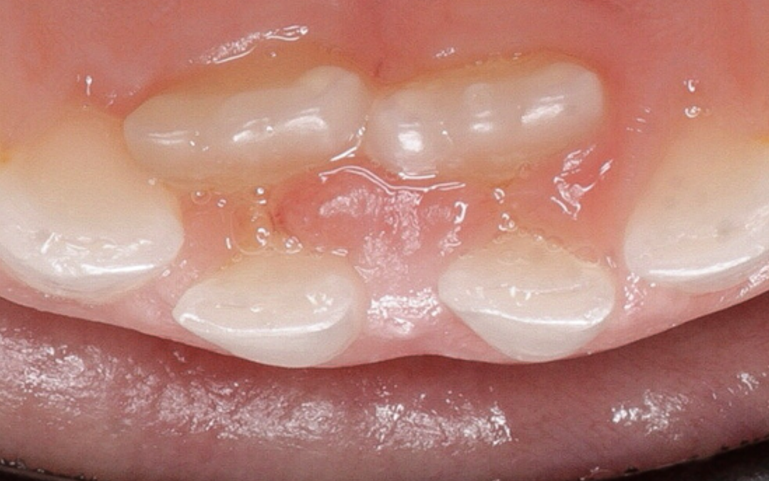
Una de las consultas más frecuentes en las clínicas odontológicas es debida a la erupción de los incisivos inferiores permanentes o definitivos sin que se haya producido la exfoliación (caída) de los incisivos inferiores temporales (de leche) previamente. La presencia de estos dientes simultáneamente en la boca es alarmante para los papás.
Es un hecho bastante frecuente en los niños y se debe a una posición de los dientes definitivos más posterior en el interior del hueso al diente de leche debido al poco espacio del que disponen en el hueso antes de su erupción. Sin embargo esta colocación más posterior de los dientes se resuelve por el empuje de la lengua una vez que los dientes de leche exfolian o son extraídos, permitiendo el avance de los definitivos hasta su posición apropiada, siempre que tengan espacio suficiente.
La erupción de los primeros incisivos inferiores coincide con la erupción del primer molar permanente. Este hecho suele pasar desapercibido, en muchas ocasiones, debido a que el nuevo molar erupciona por detrás del último molar temporal sin que se produzca ninguna pérdida dentaria.
Si tienes más dudas sobre la erupción de los dientes de tu hijo no dudes en consultarnos, estaremos encantados de responder a tus preguntas.